Hi-Fidelity Dental

Shawn’s Story

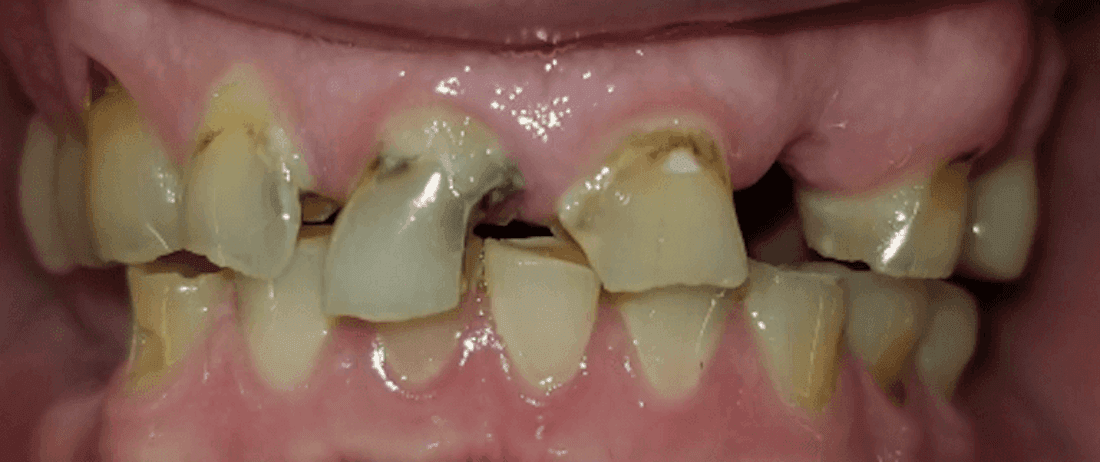
Feeling frustrated with his limited options, Shawn embarked on a journey seeking affordable solutions to restore his confidence and functionality. Despite his big-hearted and considerate nature, Shawn felt misunderstood by others. Resorting to covering his smile and altering his way of speaking, he yearned for a change. Dr. Bianco emerged as a saving grace, aligning with his budget while delivering remarkable results. Opting for the procedure, Shawn underwent tooth extractions, received six dental implants, and was fitted with a fixed prosthetic, providing him with newfound freedom. Now, Shawn relishes the joys of indulging in his favorite foods, particularly savoring a juicy steak.

 

Are You Ready to Book Your Next Dental Visit?
If you have difficulty using our website, please email us or call us at (847) 908-8826
View the ADA Accessibility Statement